ХИВ СИДА

СИДА

СИДА је као полна болест први пут откривена у САД 1981 год., а као смртоносна болест имуног система коју узрокује вирус ХИВ-а, за ових 30-ак година, болест СИДА се толико проширила да је регистрована у 184 државе, на свим континентима, и са милионима заражених.

Термин СИДА означава синдром стеченог имунолошког дефицита и представља класификацију за оне особе, које су поред инфекције ХИВ вирусом, добиле и неку од болести које су у стању да искористе ослабљени имуно систем те особе (инфекције, тумори).

ХИВ је скраћеница од хумани имунодефицијентни вирус или вирус хумане имунодефицијенције. Најчешће циљне ћелије за вирус ХИВ-а су оне ћелије које на својој површини имају CD4 протеински молекул, који служи као рецептор преко кога вирус ХИВ-а улази у ћелију, а то су: ћелије лимфног система, одбрамбене ћелије нервног система и велики број ћелија на гениталној и ректалној слузници (зато је опасан и сам додир полних органа, а без сексуалног односа; слично важи и за генитални херпес и кондиломе). Другим речима, циљне ћелије су: помоћни Т лимфоцити, моноцити, макрофаги, микроглија и ћелије цревне слузнице.

Вирус ХИВ-а је већ мутирао, тако да засада, након само 30-ак година његовог постојања, постоје три типа вируса : ХИВ 0, ХИВ 1, ХИВ 2, што ће рећи да се понаша слично вирусу грипа, који је иначе веома склон мутацијама. Вирус ХИВ-а је склон мутирању због великог броја грешака у транскрипцији (при размножавању самог вируса), што ће још више отежати налажење вакцине, као и делотворност саме вакцине, уколико се иста ипак пронађе, а уколико она па опет не покрије све типове ХИВ-а (као нпр. вакцина против грипа која постоји, али је тип специфична, па од грипа вакцинисани пацијент касније може добити грип, али узрокован само другим типом вируса грипа).

Како се преноси ХИВ

ХИВ се преноси на један од три начина: 
  • сексуалним контактом (хомо-, хетеро-, би-), 
  • зараженим шприцевима и иглама, 
  • са мајке на дете (интраутерино, на порођају и при дојењу). 
Особе које су већ инфициране неком сексуално преносивом болешћу, имају 2 до 5 пута већу шансу да добију СИДУ уколико се изложе вирусу током сексуалног контакта.

Извор ове полно преносиве инфекције је болестан или вирусом заражен човек, као и вирусом заражене телесне течности (крв, сперма, вагинални секрет, млеко, пљувачка, мокраћа, зној, сузе). Контакт рана било које природе и величине (огреботине, посекотине, огуљотине и упале коже, као и слузница) са зараженим телесним течностима, подразумева се као начин преноса, те отуда и професионални ризик код медицинског особља да оболи од полне болести СИДА. Шала мала, али стоматолози само што нису почели да носе скафандре.

Невероватно је, али забележен је у судској медицини случај да је вирус ХИВ-а преживео чак 7 дана у крвном угрушку, што свакако носи одређене закључке и о већим могућностима преношења СИДЕ него што се раније мислило, кад се мислило да је вирус ХИВ-а врло неотпоран у спољној средини.

Инкубација је временски период од момента заражавања до момента обољевања. У првих 6 месеци инкубације ове полне болести, постојао је некада тзв. „прозор инфекције”, период када је стандардним тестовима било немогуће утврдити да ли је неко ХИВ+. Особа инфицирана ХИВ-ом је инфективна (заразна) за све време инкубације (неколико месеци до преко 10 година), тако да за све то време, док се болест СИДА не испољи, особа несметано шири полну инфекцију, јер не зна да је ХИВ+, а ни на који начин се здравствено не разликује од других људи, све до момента када се полна болест СИДА испољи.

С друге стране, питање пацијентовог понашања при сазнању да је ХИВ+, врло је дубиозна ствар. Пацијент при једној од честих манифестација СИДЕ, тзв. Aids dementia complex, при којој је нападнут централни нервни систем (мозак), што доводи при том и до психичких промена код пацијента, тако да исти једноставно не схвата шта ради. Познати су и случајеви болесника који свесно хоће да заразе другога, тј. тзв. агресивних болесника. Такође, преморбидно психопатско стање ХИВ+ пацијента, чини га потенцијално склоним ширењу заразе, јер је промискуитетност управо психопатска категорија (живе по психопатолошком принципу: „Задовољство одмах и сад!“, а то у комбинацији са карактеристичном психопатском неспособношћу да се трајно емоционално вежу за једну особу, резултира појавом промискуитетности), а постоје и психопатски типови који имају и карактеристичну небригу за заштиту себе и других људи - асоцијалне психопате (чине око 3% опште популације). Воља и свест су код психопата подређени нагонима, за разлику од нормалних људи који задовољење нагона подређују вољи и свести, а који чине око 90% опште популације. Односно, психопате дају примат тренутним над трајним задовољствима. Хомосексуалност која се јавља код психопата је у дерматовенеролошком погледу посебно ризична за полне болести.

Инфекција ХИВ-ом настаје кроз мале, голим оком невидљиве повреде слузница, преко којих вирус доспева директно у крв. Повреде слузница гениталног и аналног предела редовно настају при сексуалном односу, а повреде слузнице уста настају најчешће прањем зуба, те се тако унутар 2 сата после прања зуба, СИДА може пренети и влажним (француским) пољупцем. Најновија истраживања говоре да се ова полно преносива инфекција може пренети чак и оралним сексом, због постојања рецептора CXCR4 у устима, с тим да при том није неопходно постојање повреда тј. микроскопских крварења на слузници уста (влажни пољубац???). Више података о оралној трансмисији ХИВ-а преко поменутог рецептора можете добити претрагом на www.ncbi.nlm.nih.gov.

Болест СИДА има невероватну епидемиолошку особину у природним условима, а то је да се број инфицираних дуплира сваких 10-12 месеци. Број инфицираних је немогуће прецизно утврдити, па се тај број процењује тако што се број евидентираних множи са 3-11. Највише пропагирани начин заштите од ХИВ-а јесте кондом, тј. кондом кампање, које обично финансира управо индустрија кондома.

СИДА слике

Погледајте следеће слике СИДЕ

  • Слика приказује вирус HIV-a који доводи до тога да се појаве симптоми полне болести СИДЕ
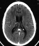
  • Aids dementia complex на CT слици као један од симптома полно преносиве болести СИДЕ чије преношење може бити и оралним путем
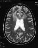
  • Aids dementia complex на NMR слици као један од симптома полне болести СИДЕ
  • Aids dementia complex је симптом ове полно преносиве инфекције
  • На слици је Капошијев сарком (Kaposi sarcoma) као један од најчешћих тумора односно симптома полне болести СИДЕ
  • На слици је Капошијев сарком (Kaposi sarcoma) као један од најчешћих тумора односно симптома полно преносиве болести СИДЕ
  • На слици је Капошијев сарком (Kaposi sarcoma) као један од најчешћих тумора односно симптома полне инфекције вирусом СИДЕ
Страница 5 од 10